Alternativas para tratar la artrosis de rodilla
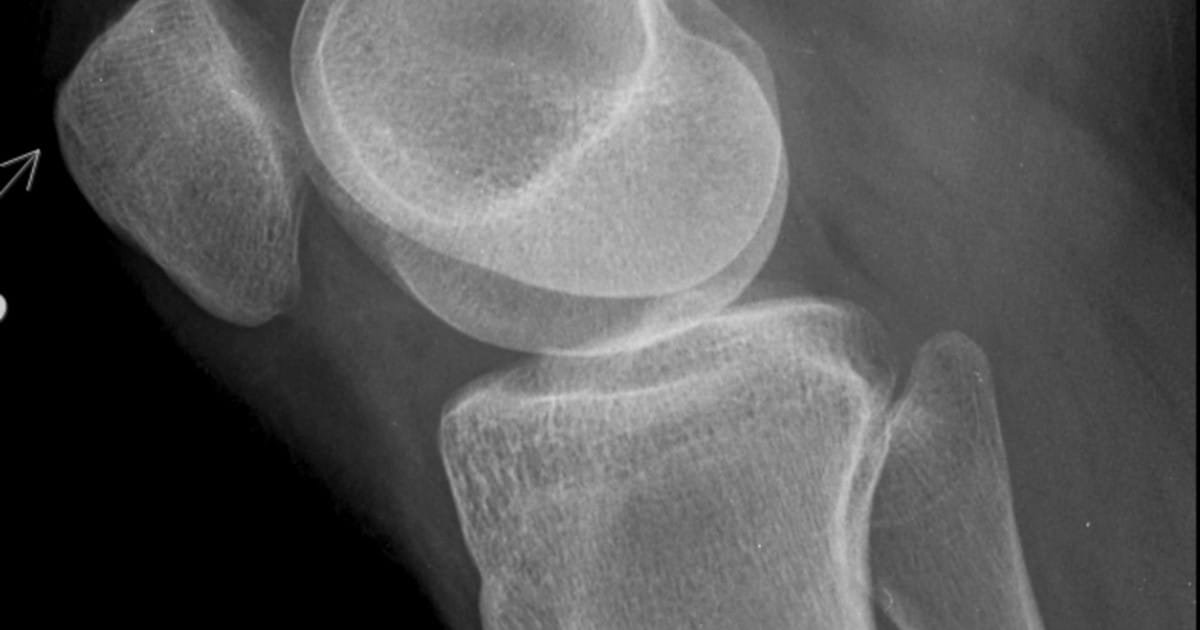
La artrosis de rodilla, o gonartrosis, es una enfermedad frecuente y degenerativa que consiste en la pérdida o desgaste excesivo del cartílago articular en una o más zonas de la rodilla.
El cartílago es un tejido firme encargado de recubrir y proteger todas las articulaciones. En la rodilla se acostumbra a deteriorar habitualmente, y de forma gradual, por múltiples razones al tratarse de una articulación de carga.
Seguir leyendo desde la FUENTE →
- Viajeros del cercanías en Rabanales: «Montarse en el tren es una lotería, puede que salga, puede que no, o vaya con retraso»
- Paquili, bordador de Semana Santa: «El Cerro fue la primera hermandad en tener capirotes de terciopelo burdeos»
- Llegan a España los 200 militares que permanecían en Irak después de una complicada evacuación





